
文:編輯部
新冠疫情即將進入第三年,大家從恐懼、接受,一直到了解,同時改變了人們對肺部健康的態度,也更關注肺部相關疾病,眾多肺部疾病當中,根據台灣胸腔暨重症加護醫學會觀察,因咳、喘、痰症狀就醫的民眾中,確診為肺阻塞的比例明顯增加。
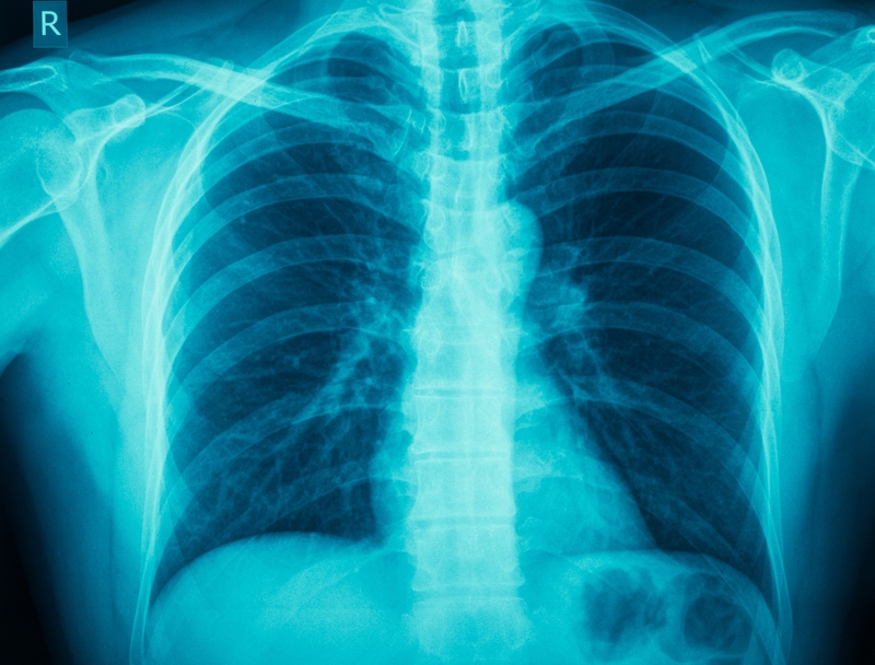
台灣胸腔暨重症加護醫學會公共事務組北區委員柯信國表示,據統計,台灣一年有超過5,000人因肺阻塞(COPD)死亡,雖特殊時期民眾對到大醫院就醫較抗拒,不過,很多肺部問題要透過肺功能檢測、照X光才能更精準診斷,因此建議民眾,若「咳、痰、喘」三大症狀持續3週以上,應至胸腔內科檢測,也盼此活動能成為高風險族群及早診斷的契機。
疫情後罹病人數約增1.5倍
柯信國醫師分享,長新冠跟肺阻塞(COPD)的共通點是「咳、痰、喘」三個症狀,許多來看胸腔科門診的新冠肺炎病人,通常只有咳或喘,痰的狀況不甚明顯,不過一般民眾較難區分,也難以直接聯想到肺阻塞(COPD)。

以前在門診收治的「咳、痰、喘」病人中,新診斷肺阻塞的病人比例約20%,「後來我們發現,這個數字在疫情之後大概上升到35%,推估可能是疫情趨緩後,民眾驚覺自己的症狀已持續太久,或變得太嚴重了才到門診求助」。可見在疫情期間,肺阻塞(COPD)患者延誤就醫的狀況確實有所增加。
延遲就醫恐致急性惡化
然而,若不治療肺阻塞(COPD)或延誤治療時機,恐提高急性惡化風險。研究顯示,約五分之一的肺阻塞(COPD)病人會在急性惡化住院後一年內死亡。「一般人也許很難想像,只是咳、痰、喘而已,死亡率怎麼這麼高?」柯信國解釋,這可分為兩個面向討論:第一,肺阻塞症狀需達一定的嚴重程度才會住院;第二,急性惡化會加速肺功能的衰退,進而提高死亡率。因此,治療肺阻塞(COPD)除了要改善症狀,避免急性惡化也是關鍵。舉例而言,以往半個小時可走10公里,現在走100公尺就感到呼吸困難,或是半夜咳到無法入睡等等。
但柯信國強調,很多病人上網搜尋後發現肺阻塞(COPD)是不可逆的疾病,就覺得再怎麼治療也沒用,但事實並非如此,患者在用藥治療後可有效改善肺功能,進而維持生活品質。
延伸閱讀:
。COPD年奪台灣逾5000人性命! 9成都愛做「1事」:常咳、痰、喘注意
。1分鐘爬不了30階 小心「慢性阻塞性肺病」已找上你


